Институт молекулярной и клеточной биологии СО РАН
Поиск
Об Институте
Новости
ДисСовет
Аспирантура
Семинары и конференции
ЦКП
История
СМИ
Фото
Видео
ENG
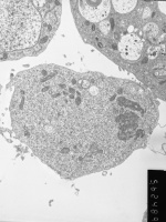
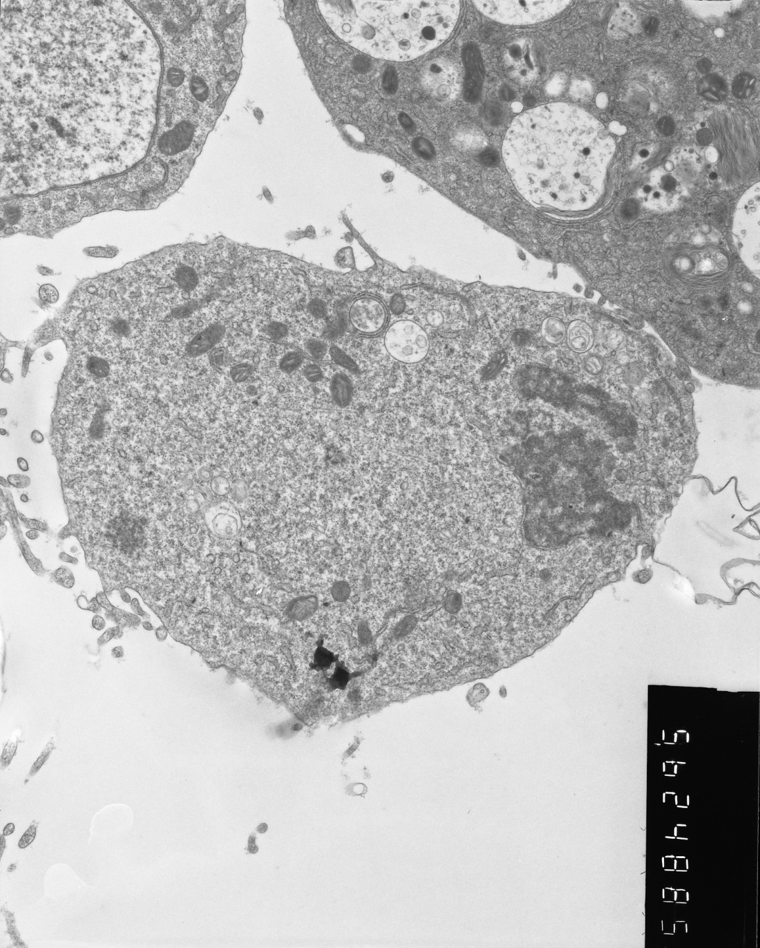
Telophase early-middle
04 июля 2019
История ИМКБ
История института
Сообщения в СМИ
Фотогалерея
Видеоматериалы
Научные подразделения
Отдел структуры и функции хромосом
Лаборатория молекулярной цитогенетики
Лаборатория хромосомной инженерии
Лаборатория молекулярной генетики
Лаборатория разнообразия и эволюции геномов
Отдел регуляции генетических процессов
Лаборатория геномики
Лаборатория клеточного деления
Отдел молекулярной иммунологии
Лаборатория иммуногенетики
Лаборатория инженерии антител
Лаборатория моделирования патологий человека
Лаборатория молекулярной генетики человека
Лаборатория цитологии и апомиксиса растений
Лаборатория структурной, функциональной и сравнительной геномики
Лаборатория эпигенетики
DNA Zoo Novosibirsk
Технологическая платформа для экстренного создания антител
Служебные ссылки
Web-почта